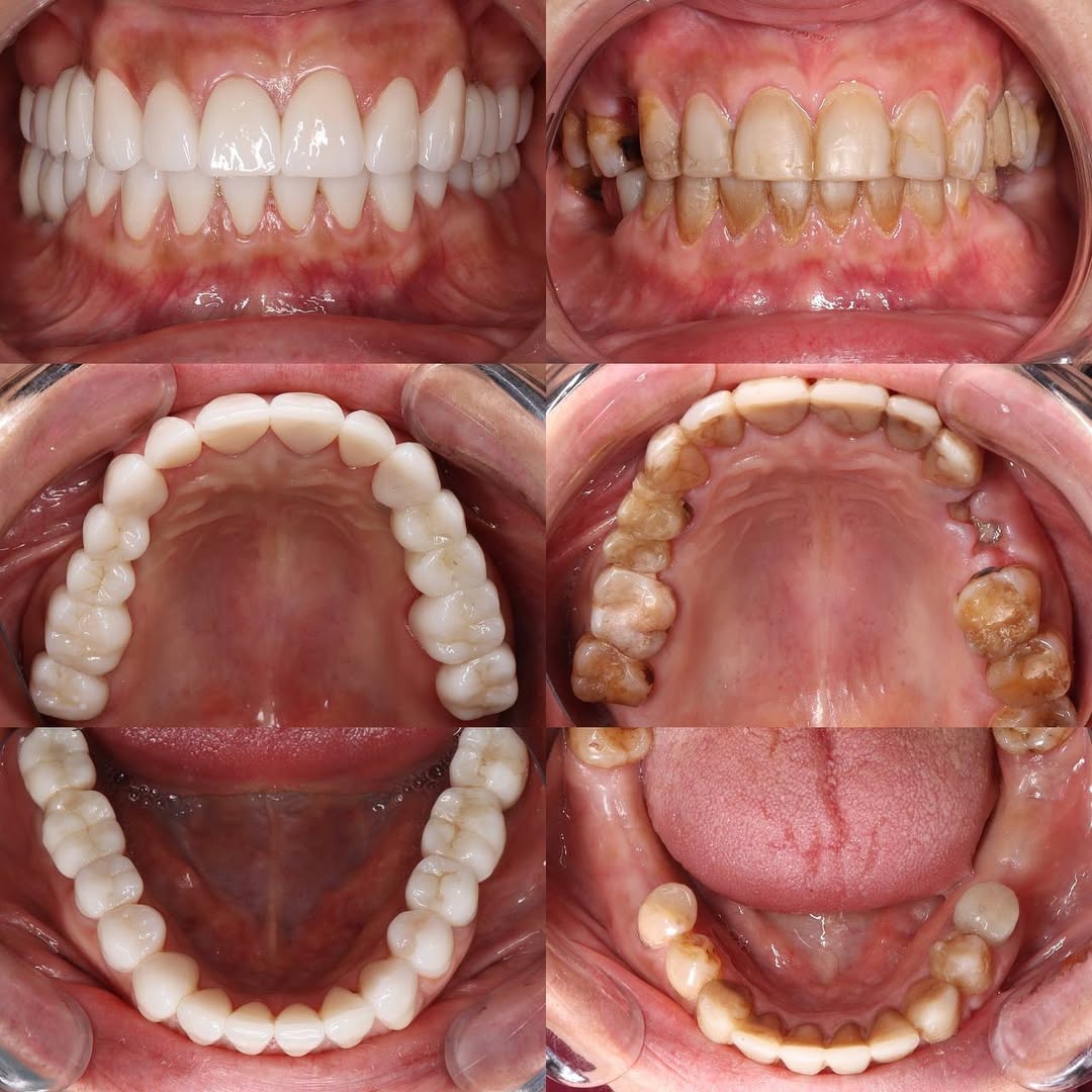
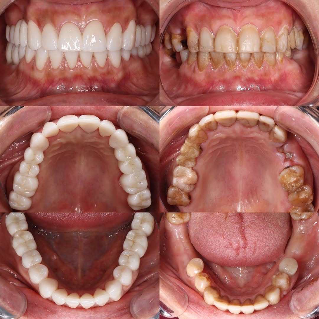
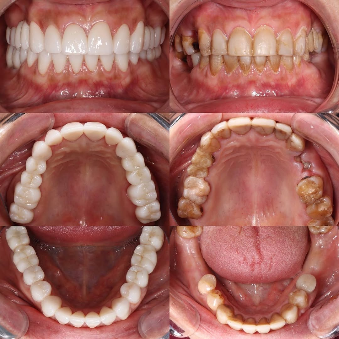
Втрата зубів може значно вплинути на якість життя, але завдяки сучасним технологіям, таким як імпланти Osstem, відновлення вашої посмішки стає не тільки можливим, але й комфортним. У стоматологічній клініці NDC ми використовуємо імпланти Osstem для забезпечення найкращих результатів імплантації, що дозволяє нашим пацієнтам повернути не тільки функціональність, але й естетику їхньої посмішки.
Переваги імплантів Osstem
- Висока якість матеріалів: Імпланти Osstem виготовляються з використанням передових технологій та високоякісного титану, який є біосумісним і не викликає алергічних реакцій.
- Різноманітність розмірів та форм: Імпланти Osstem доступні у різних розмірах та формах, що дозволяє індивідуально підібрати імплантат для кожного пацієнта з урахуванням анатомічних особливостей щелепи.
- Довговічність та надійність: Завдяки високій якості виготовлення, імпланти Osstem забезпечують довготривалу стабільність та надійність, що підтверджено численними клінічними дослідженнями.
Процес імплантації з використанням імплантів Osstem
Процедура імплантації з імплантами Osstem включає кілька етапів:
- Консультація та планування: Перший візит включає діагностику та планування лікування з використанням комп’ютерної томографії.
- Хірургічний етап: Імплантат встановлюється в кістку щелепи через мінімальний розріз, що знижує дискомфорт та період відновлення.
- Осідання імплантату: Імплантат приживається протягом кількох місяців, після чого можна приступати до встановлення коронки.
Післяопераційний догляд
Для забезпечення успішного приживлення імплантату важливо дотримуватися рекомендацій лікаря, включаючи гігієну ротової порожнини, відмову від куріння та правильне харчування.
Запишіться на консультацію в стоматологічну клініку NDC
Якщо ви розглядаєте можливість імплантації зубів або хочете дізнатися більше про імпланти Osstem, запрошуємо вас на консультацію в нашу клініку. Наші досвідчені фахівці допоможуть вам вибрати оптимальний варіант відновлення зубів, враховуючи ваші індивідуальні потреби та бажання. Запишіться на прийом сьогодні, щоб зробити перший крок до відновлення вашої ідеальної посмішки!
















































