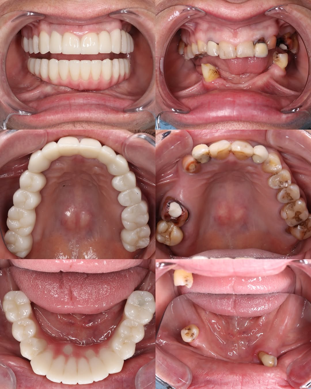
Втрата зубів може суттєво вплинути на якість життя, але завдяки сучасним технологіям, таким як імпланти Bauers, відновлення вашої посмішки стає не тільки можливим, але й доступним. У стоматологічній клініці NDC ми використовуємо імпланти Bauers для забезпечення найкращих результатів імплантації, що дозволяє нашим пацієнтам повернути не тільки функціональність, але й естетику їхньої посмішки.
Переваги імплантів Bauers
- Висока якість матеріалів: Імпланти Bauers виготовляються з титану, який відомий своєю біосумісністю, міцністю та довговічністю. Титан не викликає алергічних реакцій та ідеально приживається в кістковій тканині.
- Різноманітність розмірів: Імпланти Bauers доступні у різних розмірах, що дозволяє індивідуально підібрати імплантат для кожного пацієнта з урахуванням анатомічних особливостей щелепи.
- Доступна ціна: Завдяки виробництву в Україні, імпланти Bauers мають конкурентоспроможну ціну, що робить процедуру імплантації доступною більшій кількості пацієнтів.
Процес імплантації з використанням імплантів Bauers
Процедура імплантації з імплантами Bauers включає кілька етапів:
- Консультація та планування: Перший візит включає діагностику та планування лікування з використанням комп’ютерної томографії.
- Хірургічний етап: Імплантат встановлюється в кістку щелепи через мінімальний розріз, що знижує дискомфорт та період відновлення.
- Осідання імплантату: Імплантат приживається протягом кількох місяців, після чого можна приступати до встановлення коронки.
Післяопераційний догляд
Для забезпечення успішного приживлення імплантату важливо дотримуватися рекомендацій лікаря, включаючи гігієну ротової порожнини, відмову від куріння та правильне харчування.
Запишіться на консультацію в стоматологічну клініку NDC
Якщо ви розглядаєте можливість імплантації зубів або хочете дізнатися більше про імпланти Bauers, запрошуємо вас на консультацію в нашу клініку. Наші досвідчені фахівці допоможуть вам вибрати оптимальний варіант відновлення зубів, враховуючи ваші індивідуальні потреби та бажання. Запишіться на прийом сьогодні, щоб зробити перший крок до відновлення вашої ідеальної посмішки!











































