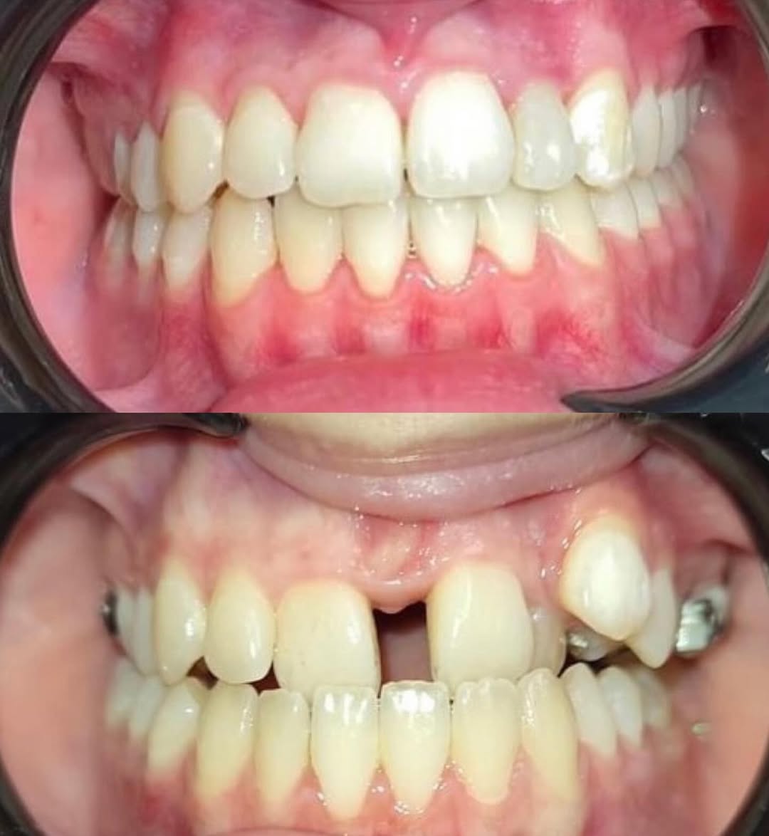
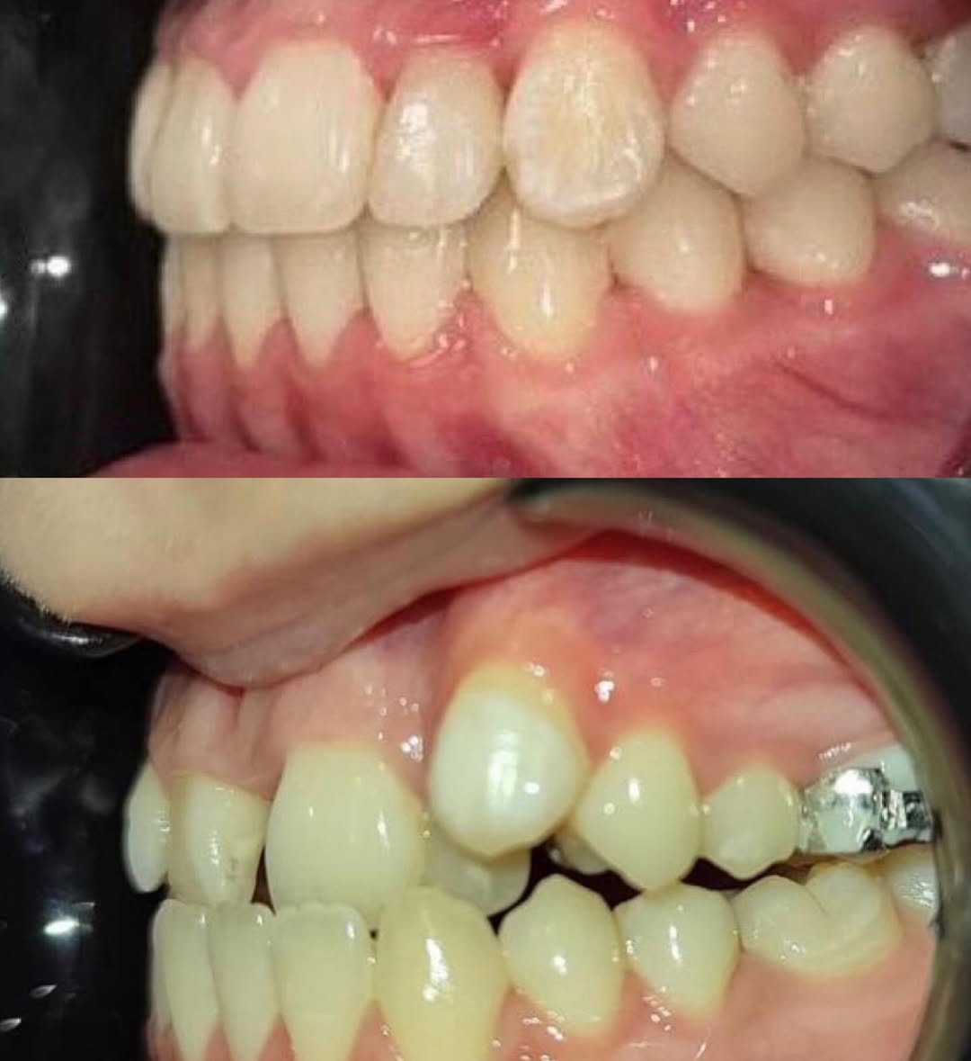
Неправильний прикус не тільки впливає на естетику посмішки, але й може спричиняти ряд проблем зі здоров’ям, включаючи дефекти дикції, зношування зубів, хвороби ясен, а також проблеми з травленням та диханням. В клініці NDC ми пропонуємо сучасні та ефективні методи виправлення прикусу для дітей та дорослих, що дозволяють не тільки вирішити естетичні питання, але й покращити загальний стан здоров’я.
Методи виправлення прикусу:
- Брекет-системи: Найпопулярніший метод корекції прикусу, який включає використання металевих, керамічних або сапфірових брекетів. Брекети ефективно вирівнюють зуби, забезпечуючи точне та тривале виправлення прикусу.
- Елайнери: Прозорі капи, які є альтернативою брекетам. Елайнери зручні у використанні, майже непомітні та знімні, що дозволяє пацієнту вести звичний спосіб життя під час лікування.
- Лінгвальні брекети: Встановлюються на внутрішню сторону зубів, роблячи їх невидимими для оточуючих. Це ідеальний варіант для тих, хто хоче виправити прикус без зміни зовнішнього вигляду.
- Самолігуючі брекети: Сучасна версія брекет-систем, яка не вимагає використання лігатур (гумок). Це забезпечує більш швидке та комфортне переміщення зубів.
Переваги лікування прикусу в клініці NDC:
- Індивідуальний підхід: Кожен план лікування розробляється індивідуально, виходячи з анатомічних особливостей та потреб пацієнта.
- Висока кваліфікація фахівців: Наші ортодонти мають великий досвід у виправленні прикусу за допомогою різних методик.
- Сучасне обладнання: Клініка оснащена новітніми технологіями, що дозволяє проводити лікування на найвищому рівні.
- Комфорт та підтримка: Ми забезпечуємо підтримку на кожному етапі лікування, допомагаючи пацієнтам відчувати себе комфортно та впевнено.
Запишіться на консультацію в клініці NDC
Якщо ви хочете виправити прикус та покращити якість свого життя, зверніться до клініки NDC. Наші фахівці допоможуть вам вибрати оптимальний метод лікування та відповідатимуть на всі ваші запитання. Запишіться на консультацію сьогодні, щоб зробити перший крок до красивої та здорової посмішки!







































