Хірургічна стоматологія є важливим напрямком у сучасній медицині, який дозволяє вирішувати складні проблеми, пов’язані зі станом порожнини рота. В клініці NDC ми пропонуємо широкий спектр хірургічних послуг, спрямованих на лікування запальних процесів, травм, кіст, пухлин та інших захворювань.
Сфери застосування хірургічної стоматології:
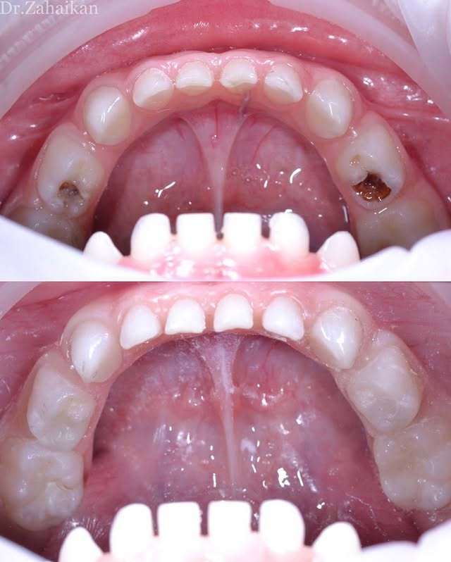
- Видалення зубів: Часткове або повне видалення зубів, включаючи “зуби мудрості”, які часто викликають проблеми з прилеглими зубами та яснами.
- Лікування пухлин: Ефективне видалення новоутворень у порожнині рота, забезпечуючи здоров’я та профілактику подальших ускладнень.
- Реконструкція та пластика щелеп: Відновлення форми та функцій щелеп після травм або в ході комплексного лікування деформацій.
- Імплантація: Встановлення імплантів для заміщення втрачених зубів, що дозволяє відновити естетику та функціональність зубного ряду.
- Лікування захворювань слинних залоз: Вирішення проблем, пов’язаних з блокуванням або інфекцією слинних залоз.
- Операції на тканинах пародонту: Лікування глибоких форм пародонтиту та інших захворювань, що вражають опорні тканини зубів.
Переваги хірургічної стоматології в клініці NDC:
- Висококваліфіковані фахівці: Наші хірурги мають глибокі знання та багаторічний досвід у сфері хірургічної стоматології.
- Сучасне обладнання: Клініка оснащена передовими технологіями, що дозволяють проводити операції з максимальною точністю та мінімальними ризиками.
- Індивідуальний підхід: Кожен пацієнт отримує персоналізований план лікування, адаптований до його унікальних потреб та стану здоров’я.
- Комфорт та підтримка: Ми забезпечуємо повний супровід пацієнта на всіх етапах лікування, від консультації до відновлення після операції.
Запишіться на консультацію в клініці NDC
Якщо ви стикаєтесь з проблемами, які можуть вимагати хірургічного втручання, не вагайтеся звернутися до нас. Запишіться на консультацію в клініці NDC, щоб обговорити ваші проблеми з нашими фахівцями та отримати кваліфіковану допомогу. Ми допоможемо вам повернути здоров’я та красу вашій усмішці!
















































