У стоматологічному центрі NDC ми розуміємо, що здорові зуби є ключем до повноцінного життя. Наші передові методи імплантації та протезування дозволяють відновити не тільки естетику вашої посмішки, але й функціональність зубного ряду.
Імплантація зубів:
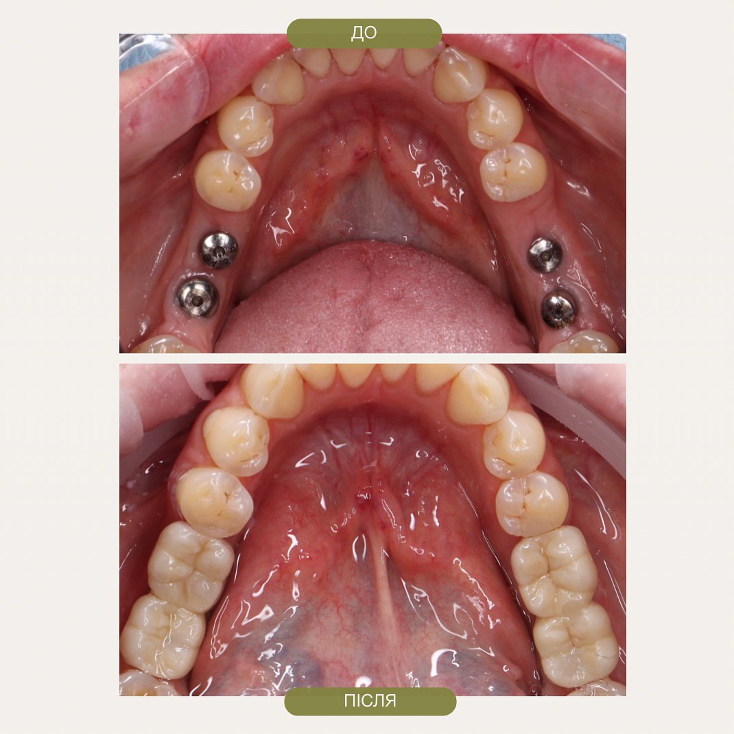
Імплантація зубів — це процес встановлення металевих імплантатів у кісткову тканину щелепи, які служать основою для майбутніх коронок або мостів. Цей метод є ідеальним рішенням для тих, хто втратив один або декілька зубів, оскільки імплантати забезпечують міцність та довговічність конструкції.
Переваги імплантації:
- Відновлення зуба без втручання в сусідні зуби.
- Збереження кісткової тканини щелепи.
- Довговічність та надійність конструкції.
- Висока естетика та комфорт.
Протезування зубів:
Протезування зубів може бути виконане за допомогою коронок, мостів або часткових протезів. Цей метод дозволяє відновити зубний ряд, коли імплантація не можлива або не бажана.
Види протезів:
- Коронки: Встановлюються на обточені зуби або імплантати, ідеально підходять для відновлення одного зуба.
- Мости: Використовуються для заміщення одного або декількох втрачених зубів, спираючись на сусідні зуби.
- Часткові протези: Застосовуються при втраті декількох зубів, коли імплантація не є оптимальним варіантом.
Матеріали для протезів:
- Кераміка: Забезпечує високу естетику та міцність.
- Металокераміка: Поєднує міцність металу з естетикою кераміки.
- Цирконій: Сучасний матеріал, який відрізняється легкістю та міцністю.
Догляд за протезами:
Догляд за незнімними протезами включає регулярне чищення, використання зубної нитки та професійне чищення у стоматолога. Це допомагає зберегти протези в ідеальному стані та продовжити термін їх служби.
Запишіться на консультацію у стоматологічний центр NDC
Якщо ви розглядаєте можливість імплантації або протезування зубів, запрошуємо вас відвідати наш стоматологічний центр у Харківському районі Києва. Наші досвідчені стоматологи допоможуть вам вибрати оптимальний варіант відновлення зубів, що відповідає вашим потребам та естетичним бажанням. Запишіться на консультацію сьогодні та зробіть крок назустріч до здорової та красивої посмішки!
















































