Професійне чищення зубів у стоматологічному центрі NDC: Ваш крок до ідеальної посмішки
Здорові та красиві зуби є не тільки показником особистої гігієни, але й важливим елементом загального враження про людину. Стоматологічний центр NDC пропонує професійне чищення зубів, яке допоможе вам підтримувати вашу посмішку не тільки здоровою, але й привабливою.
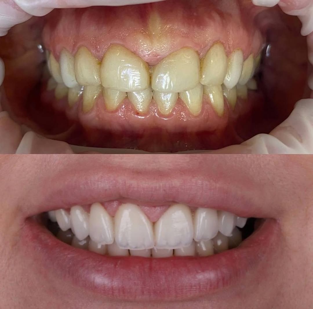
Чому важливо регулярно проводити професійне чищення зубів?
Навіть при ретельному догляді в домашніх умовах, зуби можуть втрачати свою природну білизну та здоров’я через накопичення зубного каменю та нальоту. Професійне чищення дозволяє не тільки видалити ці відкладення, але й значно знизити ризик розвитку карієсу, захворювань ясен та інших проблем з порожниною рота.
Переваги професійного чищення зубів у стоматологічному центрі NDC:
- Видалення стійкого нальоту та зубного каменю: Сучасне обладнання та висококваліфіковані спеціалісти дозволяють ефективно видаляти навіть глибокі відкладення, які неможливо усунути звичайною зубною щіткою.
- Оздоровлення ясен: Регулярне видалення зубних відкладень сприяє здоров’ю ясен та запобігає розвитку пародонтиту та гінгівіту.
- Відбілювання зубів: Професійне чищення допомагає відновити природну білизну зубів, зробивши вашу посмішку яскравішою та привабливішою.
- Профілактика карієсу: Чисті зуби менш схильні до утворення карієсу, оскільки бактерії не мають умов для розмноження.
Як проводиться процедура?
Професійне чищення зубів у стоматологічному центрі NDC включає кілька етапів:
- Діагностика: Перед процедурою лікар оцінює стан зубів та ясен, визначаючи необхідність та обсяг робіт.
- Видалення зубного каменю: За допомогою ультразвукового скейлера лікар акуратно видаляє камінь, не пошкоджуючи емаль.
- Полірування зубів: Після видалення каменю зуби поліруються спеціальними пастами, що повертає їм гладкість та блиск.
- Фторування: На завершення процедури може бути проведено фторування для зміцнення емалі.
Запишіться на консультацію в стоматологічний центр NDC
Не чекайте, поки проблеми з зубами стануть помітними та болючими. Запишіться на професійне чищення в стоматологічний центр NDC сьогодні, щоб ваша посмішка завжди була здоровою та привабливою. Наші фахівці забезпечать вам комфортну та безпечну процедуру, результати якої ви відчуєте негайно.











































